審美歯科
天然歯のような見た目と機能性を重視した治療法。審美=自費診療=高い、そう思われる方が多いのですが、必ずしもそうではありません。治療法や素材によって保険適用内か適用外かは異なり、設定料金にも幅があります。
料理に例えるとわかりやすいでしょう。どんな食材も入手可能で最新設備のキッチンで作る料理、今手元にある食材で旧型のキッチンで作る料理。作る人は同じでも出来上がる料理は違うものになります。保険適用内が悪いのではありません。細かな制約があるなかで最善を尽くせる範囲は自ずと決まってしまうということです。
当院では、患者様が「こうなりたい」という希望を叶えるために、治療プランを複数ご提案しております。無理に自費診療を勧めることはありませんが、選択肢の幅を広げること=患者様のご満足につながると考えております。
治療法、素材、期間、費用などご希望を丁寧にカウンセリングし、患者様が納得される形で治療をスタートいたします。
CR修復
CR修復とは、直接歯牙に白い詰め物を流し込んで修復する方法です。
CR修復のメリット
- 金属の詰め物を自然な色に
- 金属アレルギーが気になる
- 手の届く費用で白い歯に!
治療例(CR修復)
術前
術後
セラミックインレー
インレーとは、上下の奥歯が噛み合う部分にできた虫歯を削った際に施す「詰め物」です。
削った部分が大きい場合には、クラウンと呼ばれる「被せ物」を用いて治療します。
セラミックインレーのメリット
- しっかりと歯に馴染むので虫歯になりにくくなります
- 金属を使用しないので金属アレルギーのある患者様でも安心
- 素材が白いので口を開けた際でも目立ちません
治療例(セラミックインレー)
術前
術後
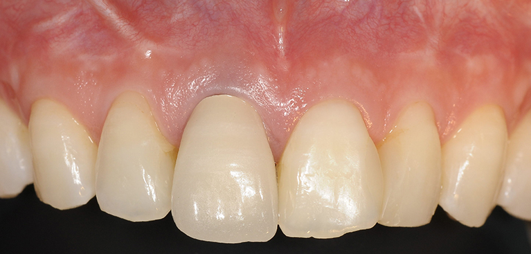
セラミッククラウン
セラミックは自然感のある色調のもので、審美治療の代表的な治療法です。
セラミックには内面を金属で補強したものと、内面もすべてセラミックのもの があります。非常にきれいで自然感があるため、前歯部に多く用いられますが、強度性にも非常にすぐれており奥歯やブリッジなどにも使用可能です。
また、プラスチックに比べて非常に変色も少ないです。
治療例(セラミッククラウン)
Before
After
審美治療の料金
| CR修復(口腔内で直接作っていく白い詰め物) | 1本12,000円~ |
|---|
インレー(歯の白い詰め物)
| ハイブリットセラミックインレー | 30,000円 |
|---|---|
| セラミックインレー小臼歯 | 40,000円 |
| セラミックインレー大臼歯 | 50,000円 |
※別途型取り代2,000円・セット調整料3,000円が必要となります。
クラウン(かぶせ物)
| パラセラマージュクラウン(金属を含む白い歯) | 60,000円 |
|---|---|
| フルジルコニアクラウン(金属なしの白い歯・小臼歯・大臼歯用) | 80,000円 |
| ジルコニアセラミッククラウン(金属なしの白い歯・小臼歯・大臼歯用) | 100,000円 |
| オールセラミッククラウン(金属なしの白い歯・前歯用) | 120,000円 |
| ラミネートベニア | 120,000円 |
※別途型取り代3,000円・セット調整料3,000円が必要となります。
